O novo coronavírus, o SARS-CoV-2, pode atacar a medula vermelha, sendo prejudicial não só para os eritrócitos (glóbulos vermelhos) da corrente sanguínea, mas também para o processo de formação de novos eritrócitos, concluíram investigadores do Departamento de Medicina Fundamental da Far Eastern Federal University (FEFU), na Rússia, em conjunto com outros investigadores russos e japoneses, que investigaram os mecanismos de distribuição do COVID-19 dentro do corpo ligados a efeitos sobre os eritrócitos.
Os glóbulos vermelhos são o principal alvo do coronavírus. Estas hemácias são responsáveis no corpo pelo transporte da proteína hemoglobina rica em ferro, que transporta o oxigénio.
A perda de glóbulos vermelhos pode causar danos aos neurónios cerebrais, vasos sanguíneos e partes internas, visto que deixam de receber o oxigénio suficiente. Nos casos mais graves, pode ocorrer falência de múltiplos órgãos e, sem os seus próprios glóbulos vermelhos, o paciente começa a sufocar.
Neste caso a ventilação artificial não ajuda, pois não há meios para transportar o oxigénio dentro do corpo. A terapia eficaz para esses pacientes é a administração de massa eritrocitária e vitamina B12. O mecanismo de recuperação dos glóbulos vermelhos danificados ainda é um mistério para os cientistas.
A degradação precoce dos glóbulos vermelhos é a reação inicial do corpo ao vírus SARS COV-2, que aumenta gradualmente. O paciente pode aperceber-se da patologia sentindo o gosto do ferro. Isso ocorre porque a hemoglobina libertada dos eritrócitos na corrente sanguínea chega à saliva.
De acordo com os cientistas, todas as pessoas com baixo nível de hemoglobina e que seja, infetadas com o novo coronavírus está em risco grave. Como é o caso de idosos, hipertensos, obesos e com diabetes mellitus, grávidas, portadores de imunodeficiência primária e adquirida, com inibição da função hematopoiética, portadores de VIH e com cancro.
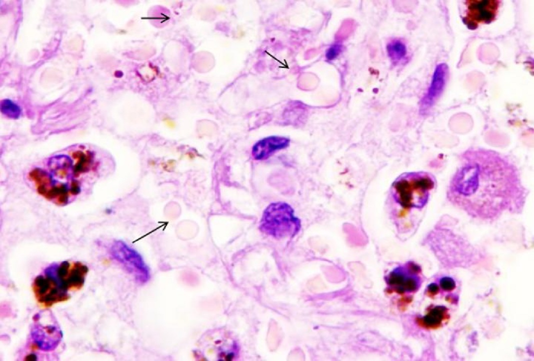
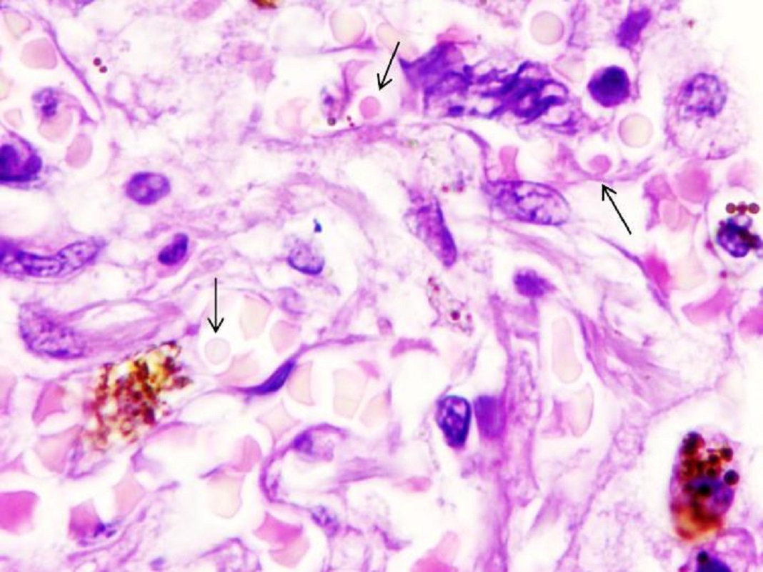
“O vírus entra no epitélio, onde se multiplica, entra na corrente sanguínea e ataca alvos, que podem ser tanto o epitélio interno (trato gastrointestinal, pulmões, sistema geniturinário) como os eritrócitos”, explicou Galina Reva, investigadora da Faculdade de Biomedicina, da FEFU.
A cientista acrescentou: “Embora mais frequentemente víssemos a patologia do aparelho respiratório, o pulmão, o vírus precisa de células epiteliais apenas para a reprodução. Acreditamos que o principal alvo do vírus seja a medula vermelha, onde danifica o endotélio, o tecido, que normalmente regula a migração de células em maturação para o sangue. Por essa razão, acontecem coisas estranhas com as células do sistema imunológico, e megacariócitos, células muito grandes da medula óssea, foram encontrados nos tecidos de vários órgãos. Normalmente, os megacariócitos tornam-se fontes de plaquetas, que são responsáveis pela coagulação do sangue, mas com COVID-19 eles coagulam o sangue nos vasos sem qualquer necessidade.”
Galina Reva afirmou que a fibrose pulmonar é apenas a manifestação mais óbvia da COVID-19, que aparece, não apenas como uma formação de tecido cicatricial usual na área do defeito. Como a causa da fibrose são os megacariócitos “lançados” na corrente sanguínea, processos semelhantes podem ocorrer nos tecidos de todos os órgãos do parênquima (denso), que são os pulmões, fígado, baço, rins, pâncreas e a tireoide.
“Este é um processo agressivo, embora possa ser lento e relativamente benigno, sem manifestações clínicas como pano de fundo de anemia, e com um aumento da frequência cardíaca. Simultaneamente, o número de células funcionalmente ativas do tecido dos órgãos está vai diminuindo, e elementos estromais, que atuam como uma estrutura suave, aumentam. Às vezes, as alterações locais assumem a forma de uma grande formação fibrosa semelhante a um tumor. A patologia é muito perigosa, pois os sinais clínicos podem aparecer quando esses processos irreversíveis ocupam um volume significativo do órgão “, esclareceu Galina Reva.


Os investigadores consideram que para desenvolver um tratamento direcionado e medidas para prevenir possíveis complicações após infeção pelo coronavírus, é necessário examinar o mecanismo que está por trás da fibrose do tecido pulmonar, fígado, rins e de outros órgãos.
Para Galina Reva, o coronavírus também induz a destruição da polpa branca do baço, as próprias células produtoras de tecido responsáveis pela imunidade infeciosa, como as células T e os linfócitos B. Por esse motivo exato, as infeções secundárias comórbidas ao coronavírus são perigosas para os humanos. O corpo simplesmente não tem nada contra o que lutar. Um paciente só consegue sobreviver com grandes doses de antibióticos, enquanto o principal é não atrasar-se, porque quando as hemácias começam a morrer por falta de oxigénio, a pessoa começa a sufocar e salvá-la fica ainda mais difícil.
Os cientistas planeiam verificar as conexões e interações intercelulares a fim de descer a cadeia de ação do vírus até o fim. Ao fazer isso, esperam entender quais as células do corpo que precisam de ser estimuladas durante o desenrolar severo da doença e o que é simplesmente inútil tentar influenciar.
Os resultados do estudo foram publicados no Archiv EuroMedica, que indica que na investigação realizada os cientistas analisaram os resultados de seus próprios estudos de amostras de pulmão de 79 pacientes que morreram de COVID-19, confirmada por PCR. No grupo de controlo, 14 pacientes morreram acidentalmente.















